全球服务热线:400-086-8008
美国宝宝“两次出生”,被从母亲子宫取出后再放回
【本文为疾病百科知识,仅供阅读】 2016-11-08 作者:厚朴方舟
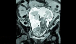
美国德克萨斯州的妇女玛格丽特·伯默怀孕16周时去做常规产检,发现胎儿患上了一种罕见的肿瘤,可能对胎儿构成致命威胁。玛格丽特随后在德州一家医院接受手术,医生打开子宫为胎儿摘除肿瘤,又迅速将胎儿送回子宫并缝合。12周后,宝宝“第二次”出生。

△尾椎骨肿瘤是新生儿中较常见的肿瘤
腹中双胞胎,一个夭折一个患肿瘤
多家英美媒体23日报道称,玛格丽特接受采访时说:“医生告诉我胎儿已经患上了骶尾部畸胎瘤。我当时非常震惊,也非常害怕,因为我们从来没听过这种病,不知道会发生什么。”
这是玛格丽特的第三个女儿,她已经给宝宝起好了名字,叫琳莉。骶尾部畸胎瘤是一种妊娠期肿瘤,通常长在胎儿的尾骨部分。患病后,肿瘤会和胎儿争抢有限的供血,胎儿心脏跳动就会受到影响,可能会致命。
德克萨斯儿童医院的卡斯医生说,这种疾病在女婴中发病率较高,几率为1/35000。
玛格丽特原本怀的是一对双胞胎,但怀孕3个月时其中一个胎儿不幸夭折,只剩下一个。没想到剩下的这个又得了罕见的肿瘤,玛格丽特非常难过。
有医生建议玛格丽特结束妊娠,但卡斯医生说,或许还有另外的可能性——直接给胎儿动手术。为了给琳莉重生的机会,玛格丽特决定手术。

△琳莉回到家中过上正常生活
奇迹手术:1斤多重胎儿 离开母体20分钟
琳莉23周零5天的时候,玛格丽特在德克萨斯儿童医院接受了手术,这时的肿瘤都快比琳莉大了。手术共进行了5个小时,“摘除肿瘤时我们做得很快,只花了20分钟。较花时间的是打开子宫。我们不想让妈妈的健康受影响,所以进行得很仔细”。
由于肿瘤已经很大,要取出来还是需要切口,摘除肿瘤时胎儿完全离开了玛格丽特的子宫。当时琳莉才大约540克重,在空气中暴露了约20分钟。“所有的羊水也出来了,非常神奇。”卡斯医生说。
手术中,琳莉的心脏仅保持低频跳动,都快停止了。心脏专家密切关注琳莉的心脏,保证手术的顺利进行。
医生们摘除了大部分肿瘤。手术结束后,医生把琳莉放回了妈妈的子宫,然后缝合。“我们打开子宫再缝上它,这个尝试居然成功了,这简直就是个奇迹。”卡斯医生激动地说。
手术后,玛格丽特一直卧床,直到胎儿出生。12周时间里,玛格丽特一边忍受疼痛,一边期待琳莉的出生。
今年6月,琳莉终于“第二次”出生了,体重有2.4千克,身体很健康。但由于上一次手术时医生无法切除全部肿瘤,琳莉出生8天后接受了第二次手术,将肿瘤全部切除。手术后,琳莉在监护室病愈了几周,然后就回家了。现在她身体非常健康。
玛格丽特说,虽然付出了很多,但是看到琳莉对着一家人笑,就觉得所有的伤痛都是值得的。
卡斯医生此前还成功做过一例这样的手术,现在那个小女孩已经7岁了。
厚朴方舟2012年进入海外医疗领域,总部位于北京,建立了由全球权威医学专家组成的美日名医集团,初个拥有日本政府官方颁发的海外医疗资格的企业。如果您有海外就医的需要,请拨打免费热线400-086-8008进行咨询!
本文由厚朴方舟编译,版权归厚朴方舟所有,转载或引用本网版权所有之内容须注明"转自厚朴方舟官网(www.hopenoah.com)"字样,对不遵守本声明或其他违法、恶意使用本网内容者,本网保留追究其法律责任的权利。
热门服务
推荐阅读
日本权威医学专家
日本医院排名
服务案例更多>
全球咨询服务热线
400-086-8008
English | 微信端

互联网药品信息服务资格证书编号:(京)·非经营性·2015·0179
厚朴方舟健康管理(北京)有限公司 版权所有 www.hopenoah.com
京ICP备15061794号
京公网安备 11010502027115号